대장암의 증상 삼생존율 피험자 총 목록


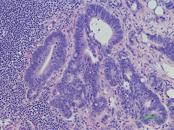
대장암은 대장의 선종이다.(선종)암으로 변했다. 대장은 소장의 아랫부분이다., 그것은 섬유질과 물을 흡수하여 대변을 형성하고 신체 노폐물을 제거함으로써 중요한 기능을 수행합니다.. 대장암은 초기에는 별다른 증상이 없습니다., 나중에 변비, 설사, 배변 중 출혈, 복통, 체중 감소 등의 증상이 나타날 수 있습니다.. 대장암은 대개 초기에 치료가 가능하지만, 지연된 감지는 치료를 복잡하게 만들고 생존율을 낮춥니다.. 따라서 이번에는 대장암의 증상과 검진이 필요한 증상에 대해 자세히 알아보도록 하겠습니다..
대장암 검진대상자


대장암은 일반적으로 50발병률이 높기 때문에5010세 이상의 모든 성인은 가족력이 있는 경우 정기적인 대장암 검진을 받아야 합니다.(하나가족 중에 대장암이 있는 경우), 개인 암진단 이력이 있는 경우, 대장 내시경 검사 중에 선종 또는 선암이 발견되면 대조군 검사가 필요합니다., 설사, 대변이 부드럽거나 완고하지 않을 때, 배변 시 출혈 또는 통증, 체중이나 체력이 감소한 경우, 대장암 검진은 소화관에 이상 소견이 있는 경우에도 필요할 수 있습니다..
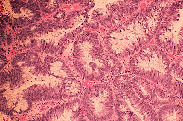
대장암의 증상
변비


대장암 초기 증상 중 하나, 변비가 지속되는 경우가 많습니다. 지속적인 변비로 인한 뱃속의 팽창 또는 포만감, 체, 구토 등의 증상도 나타날 수 있습니다..
설사


대장암은 변비로 설사를 유발할 수 있습니다.. 변비와 달리 빨리 자랄 수 있습니다., 혈변이 나타날 수 있습니다.
변색된 대변


변색된 대변은 대장암 초기 증상 중 하나입니다.. 검은 대변, 특히 혈변, 대장암일 가능성이 높음.
복통


대장암이 진행됨에 따라 복통이 발생할 수 있습니다.. 복통은 종종 변비나 설사와 같은 증상을 동반합니다., 때로는 복부의 특정 부위에서 느낄 수 있습니다..
체중 감량


대장암이 진행되면 체중이 감소할 수 있습니다.. 특히, 식사 후 빨리 배가 고프다면 아마도 체중이 감소하고 있을 것입니다..
불안정한 배변


대장암은 배변을 불안정하게 만들 수 있습니다. 대변이 불규칙하거나, 쉽게 변경할 수 있습니다.
혈액 악화


결장암은 혈액을 악화시킬 수 있습니다. 혈액이 묽어지면 빈혈이 생긴다, 혈압 강하 등의 증상이 나타날 수 있습니다.. 위와 같은 증상이 있다면 대장암을 의심해볼 수 있습니다., 증상이 지속되면 의사의 진찰을 받는 것이 좋습니다..
대장 암 삼생존률


대장 암 삼Ki 생존율은 여러 요인에 따라 달라질 수 있습니다.. 일반적으로삼결장암에서 5연간 생존율은 약입니다. 64% 에 관한 것입니다. 그러나 대장암의 생존율은 여러 요인에 의해 영향을 받습니다.. 이러한 요인 중 하나는 종양 크기입니다., 위치, 확산 정도, 종양의 병리학적 특징, 환자의 건강 상태, 치료방법 및 치료 후 사후관리 등.
종양의 위치에 따라 삼단계 대장암은 다른 생존율을 가질 수 있습니다. 종양이 직장이나 직장 내벽 근처에 있으면 생존율이 더 높을 수 있습니다.. 또한, 수술적 치료 후 추가 화학요법 및 방사선 치료를 병행하면 생존율을 더욱 높일 수 있습니다..


결장암은 초기 단계에서 증상이 없거나 전혀 없을 수 있습니다., 위와 같은 증상이 있다면 전문의의 진료를 받는 것이 좋습니다.. 또한 대장암 검진 50나이부터 모두에게 추천, 가족력이 있다면 조기에 검사 받는 것이 좋다.
시금치의 10가지 건강상의 이점
시금치의 10가지 건강상의 이점
시금치의 10가지 건강상의 이점 시금치는 가장 영양가가 높은 식물 중 하나이며 철, 칼슘, 비타민 A 및 비타민 C를 포함한 다양한 영양소를 함유하고 있습니다. 시금치의 다양한 건강상의 이점에 대해 알아보십시오.
mixdouble.leplusbeau.co.kr
연근의 10가지 효능 요약
연근의 10가지 효능 요약
연근의 10가지 효능 요약 연근은 전 세계적으로 재배되는 뿌리채소 중 하나입니다. 한국에서는 주로 찌거나 튀겨서 조리하는데, 연근에는 비타민, 무기질, 식이섬유 등의 영양소가 풍부하다.
mixdouble.leplusbeau.co.kr
유방암 증상의 조기 발견 요약
유방암 증상의 조기 발견 요약
유방암 초기 증상 요약 유방암은 여성에게 가장 흔한 암 중 하나이며 적극적인 조기 발견과 치료가 중요합니다. 따라서 유방암 초기 증상을 인지하는 것이 매우 중요합니다. 아래에
mixdouble.leplusbeau.co.kr